疤痕烦恼
帕洛玛祛疤
技术保障
核心优势
分型祛疤
华丽蜕变
医师团队
艺星品牌

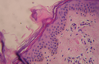
前:真皮层比较薄,出现萎缩情况
疤痕是皮肤损伤达到一定程度后组织修复的必然结果,在皮肤创伤愈合过程中,肉芽组织逐渐纤维化,胶原沉积伴胶原构型紊乱是形成疤痕的原因。
美国帕洛玛公司出产的帕罗玛时光机针对疤痕形成原理,通过重塑皮下纤维线、弹性蛋白及胶原蛋白及色素迁移等原理,结合不同的患者的具体情况,选择不同的波长和能量,以达到*理想的效果。
帕洛玛后:刺激新的胶原蛋白产生,
令表皮及真皮层的厚度及组织恢复正常

美国波士顿帕罗玛激光科技公司Palomar系列,研发理念是“科学、高效、、舒适”,所有产品均通过FDA认证,获得FDA批准的专利技术超过30项,其技术一直居于地位。在英国,已成为伊莉莎白女王、凯特王妃御用激光。
临床验证疤痕的是临床难题,手术、、传统激光等对疤痕有不同程度的疗效,但大多数疗效不太理想,副作用严重。
针对疤痕的难题,帕洛玛点阵激光应运而生,为验证其效果,第四军医大学西京医院全军皮肤病研究所医生付俊、徐嘉萍、刘斌等运用帕洛玛Lux1540nm点阵激光对外伤性瘢痕及痤疮后瘢痕患者进行。临床验证表明帕洛玛点阵激光疤痕疗效确切,性高,副作用低,不影响患者的学习及工作,值得临床推广。

帕洛玛(Palomar)时光机激光能够使疤痕部位胶原受热重建,平复疤痕及周围组织,对于各种疤痕的均有理想效果。当伤口大于4mm时,伤口及组织会凭借记忆修复,就会生成胶原墙,从而导致疤痕的产生。帕洛玛(Palomar)时光机1540点阵沿着肌肤纹理深入作用,将已形成的胶原墙打破,使胶原重组的过程恢复至正常。同时,透过色素迁移令正常组织的黑色素取代疤痕组织的色素,令疤痕色素正常化。

(深度烧伤、切口疤痕)
O/1(痤疮、手术等引起的疤痕)
O/2(表皮擦伤、轻度烧伤)
O/3(烧伤,溃疡性疤痕)
O/4(肌肤纤维瘤)
O/5
手臂被严重烫伤,伤口愈合后出现狰狞疤痕,在医院手术,但后疤痕不减反增。接受艺星帕洛玛,后疤痕明显去除,皮肤弹性恢复正常。



