
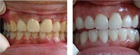
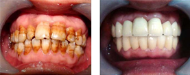
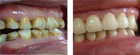
Beyond冷光美白是一项正流行于欧美的*新牙齿美白技术,它不仅可以去除牙齿表面的色素沉积,同时可进入牙齿深层达到脱色的效果。根据临床实验表明,使用冷光牙齿美白技术,其效果可提高5-14个vita色阶,不仅优于同类产品,更超过家用牙套美白效果30%以上,操作过程仅需60分钟,就可以达到洁白、富光泽、有透明感的效果。






![]() |
![]() |
|
| 适应症 | 轻度四环素、牙氟斑牙、黄牙、牙色异常 | 黄牙、牙色异常 |
| 美白效果 | 健康白:洁白、富光泽、有透明感 | 钙化白:白、无光泽 |
| 保护系统 | 好 | 较好 |
| 损伤程度 | 不仅没有损伤,还能更的保护牙齿 | 对牙釉质有损伤,显钙化白,更容易受到伤害 |
| 舒适度 | 适宜 | 低 |
| 维持时间 | 2-3年 | 1-2年 |







上海艺星医疗美容医院
地址:上海市长宁区虹桥路1165号(1-7层)
美丽热线:400-021-1992艺星(Yestar)集团联系方式


















