
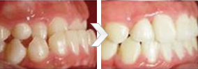
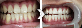
众所周知,牙齿的美观与否会影响一个人的整体形象,凡是龅牙突出、牙缝过大、牙齿乱飞、牙列不齐、牙齿缺失或各种色素牙……这些人见人怕的丑牙类型,会使您的形象大打折扣,甚至会成为阻碍您人际交往的主要元凶,让您无法绽放美丽笑容!
医生会根据求美者自身牙齿的情况,定制出一套且更适合个人的个性化牙齿美容修复方案,更有针对性,修复效果更理想。
采用先进无尘、无菌、恒温、恒湿、恒压的标准层流净化系统,为手术提供了强有力的支持和保障,可与 整形医院相媲美。
Yestar艺星牙齿美容的标准是:无齿病、整齐、洁白、无牙周病、口中无异味、能正常进行咀嚼功能,把牙齿美容和牙齿保健融为一体。
专业护士坚持一套完整的系统陪护方案,亦坚持从前后对求美者全程心理疏导,陪伴顾客每一天美一点,与求美者一起见证美丽的蜕变。



上海艺星医疗美容医院
地址:上海市长宁区虹桥路1165号(1-7层)
美丽热线:400-021-1992艺星(Yestar)集团联系方式